初期 虫歯

虫歯治療 港南区上大岡 医療法人社団 歯徳会 沖津歯科診療所 歯医者

初期虫歯なら修復できる 歯の健康基礎知識 ライオン

小さな虫歯は治療しなくても大丈夫 痛みのない小さな虫歯の治療について 歯科医が教える 歯の教室
初期 虫歯 のギャラリー
初期虫歯 co について 医院ブログ 岩手県奥州市の歯科 歯医者 インプラントならじゅん歯科クリニック

虫歯治療 所沢市 歯医者 パークタウン歯科

初期虫歯 C1 の歯を削らない治療 ドックベストセメント治療 歯を削らない神経を抜かない治療

予防歯科 安井歯科医院

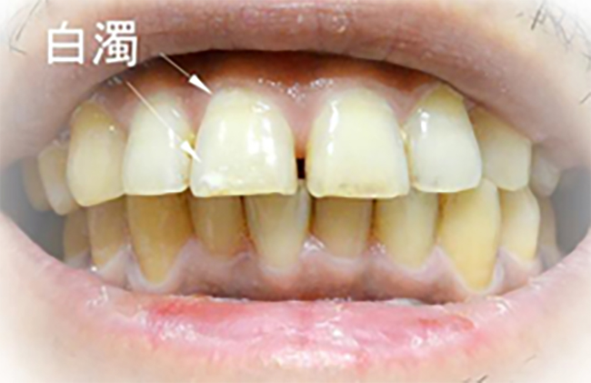
歯が白濁した初期虫歯は要観察歯 Co 虫歯なのに治療が不必要な不思議

歯科 診療案内 あいおい通り歯科クリニック
Cr充填 歯がしみる 痛いいけだ歯科口腔外科のホームページ
Q Tbn 3aand9gcrhwrgkzao8 5gqxzj4o0qzznpsdzpofmloxhfvkkqxnobllemi Usqp Cau

診療コンセプト 岡本歯科医院

虫歯の治療方法 秋葉原の歯医者 原田歯科 歯科 歯科医院 虫歯治療の方法 東京都千代田区神田和泉町 秋葉原駅徒歩1分 岩本町駅徒歩5分

虫歯治療 黒い点 ーノーブルデンタルクリニック仙台 仙台駅東口 日曜診療 夜間診療

初期の虫歯を自然修復する効果

歯列矯正中は 虫歯に用心を ブラケットの周りは虫歯になりやすい 神田デンタルケアクリニック 神田駅すぐの歯医者

初期虫歯は削らず再石灰化を

フッ素ケア

削らなくても治る虫歯があるって本当 岩国の歯医者 矯正歯科 インプラントならつぼい歯科クリニック

虫歯治療 平塚市の歯医者 医療法人orc 川崎歯科医院

治療内容 敬天堂歯科サウスクリニック 静岡市駿河区 静岡駅 Epark歯科

初期虫歯 C1 の歯を削らない治療 ドックベストセメント治療 歯を削らない神経を抜かない治療

歯に黒い点があるのですが 歯の点の正体は 初期虫歯って何 よしだ歯科スタッフブログ

当院のむし歯治療へのこだわり むし歯予防について 基山 鳥栖の歯医者 のきた歯科医院

素人でも 超初期虫歯の見つけ方 セルフチェック

歯科一般 市川市の歯医者なら大門歯科

定期健診 坂出市の歯医者 藤澤歯科医院

初期虫歯は治療したほうがよいのか ザ ホワイトデンタルクリニック

虫歯治療 人形町ハルタ歯科 日本橋駅 人形町駅 小伝馬町駅 馬喰町駅近く

乳歯の白い斑点や白濁は初期虫歯かも 原因と予防法を解説 乳歯防衛軍

初期虫歯の対処法 宮崎市大字恒久の歯科 歯医者なら のがみ歯科クリニック

経過観察が必要な初期の虫歯 あき歯科医院の医院ブログ

やぐら歯科内科 高の原駅近くの歯医者 虫歯 歯周病 小児歯科 やぐら歯科内科

あなたの虫歯の症状をチェック 最適な治療法 費用 歯医者の選び方

初期虫歯は歯を削る必要はないのです 練馬 中野 江古田の歯科 歯医者 予防歯科 小児歯科なら新江古田こばやし歯科クリニック

大人の虫歯治療 世田谷区 東松原駅 の歯医者 はやし歯科 矯正歯科

天王寺駅徒歩1分の歯科 歯医者 松川デンタルオフィス 初期虫歯の治療

初期虫歯を継続管理 その後 大岡歯科医院 南浦和の優しい歯科医院

初期虫歯の進行を防ぐ5つのポイント 歯科医師推奨 大崎の歯科 歯医者 大崎シティデンタル 丁寧で痛くない治療

このような場合は要注意 初期虫歯の特徴をしっかりとチェック 身近でやさしい医療メディア

子供の虫歯 三軒茶屋の歯医者 デンタルオフィス世田谷公園

フッ素について 杉並区の優しい歯医者は芦花公園駅前歯科 土日診療有

初期から中等度の虫歯の治し方 速見歯科医院 Website

削らない初期虫歯治療 ゆりの木歯科医院通信

歯が白濁した初期虫歯は要観察歯 Co 虫歯なのに治療が不必要な不思議

初期虫歯を自然に治す方法ーノーブルデンタルクリニック仙台 仙台駅東口 日曜診療 夜間診療

虫歯は初期のうちなら削らず治療できる可能性も 悪化させない方法も解説 むかえ歯科 矯正歯科

歯を削らないヒールオゾン治療例 ドックベストセメント治療 歯を削らない神経を抜かない治療

初期虫歯を削らずにフッ素で治す方法 Youtube

歯の痛み しみるのを治したい 虫歯治療 杉並区荻窪の小児 幼児 専門の歯医者 くろだ小児歯科

乳歯のむし歯の特徴 落合歯科医院

歯が白濁した初期虫歯は要観察歯 Co 虫歯なのに治療が不必要な不思議

初期虫歯を発見した場合 Seraデンタルクリニック 吹田市の歯科 矯正歯科 口腔外科 小児歯科

治療内容 敬天堂歯科呉服町クリニック 静岡市葵区 静岡駅 Epark歯科

奥歯の溝が黒い 治療が必要ですか 八潮駅前通り歯科医院 埼玉県八潮市の歯医者

虫歯治療について 高崎市椿町の歯医者 内田デンタル

歯が白濁した初期虫歯は要観察歯 Co 虫歯なのに治療が不必要な不思議

気になる気になる初期虫歯 天野歯科 南青山診療所

初期虫歯を見逃していませんか 浜崎歯科クリニック 新江古田駅すぐの歯医者

あなたの虫歯の症状をチェック 最適な治療法 費用 歯医者の選び方

虫歯治療 渋谷区笹塚の歯医者azデンタルクリニック笹塚

虫歯は初期のうちに治す 削らずに治療できる Co って何 歯のアンテナ

わかくさ歯科 山梨県南アルプス市にある歯科クリニック

虫歯治療 稲沢市の歯医者 山本歯科医院 インプラント 虫歯治療 小児歯科 ホワイトニング

歯に黒い点があるのですが 歯の点の正体は 初期虫歯って何 よしだ歯科スタッフブログ

初期虫歯の治療 代男性 自由が丘の歯医者のデンタルアトリエ自由が丘歯科です 審美歯科 かみ合わせ 歯列矯正 根管治療
Q Tbn 3aand9gcskvnipqgmiwlmeehezfmfvvocqbaayaqo6druunqdwvgskfmfy Usqp Cau

予防歯科 枚方市東香里元町の歯科医院 三上歯科クリニック

初期虫歯は早期発見 予防すれば削らなくてもok デンタルメディア

初期虫歯を継続管理 その後 大岡歯科医院 南浦和の優しい歯科医院

初期虫歯は進行を抑制できます できるだけ歯質を削らずに維持することの大切さを知りましょ 418プロジェクト 虫歯ゼロ活動

国立デンタルオフィス 治療紹介 虫歯治療 cr充填法

あなたの虫歯の症状をチェック 最適な治療法 費用 歯医者の選び方

痛みの少ない虫歯治療 レーザー虫歯治療 ひたちなか市の歯科医院 おざわ歯科

歯医者さんに 初期むし歯 と言われたら 初期むし歯 を毎日のケアで健康な歯に Lidea リディア By Lion

東京オペラシティ歯科 初台の歯医者 歯科 土曜も診療

初期虫歯はどんなもの 京王線上北沢徒歩3分の女性が多い審美専門歯科ノーブルデンタル 土日診療

奥歯の初期虫歯を防ぐには シーラント 歯医者をお探しなら大森でインプラントに対応する 沢田通り歯科

初期虫歯が治る 滋賀県草津市の歯科医院 草津いりえ歯科クリニック

検診による初期虫歯の早期発見 早期治療 医 精密審美会

削らない歯医者がやっている虫歯を残しても進行しない7つの方法

初期虫歯を削らずに治す特殊な治療

歯科一般 市川市の歯医者なら大門歯科

歯にやさしい虫歯治療 アイコン 宇都宮の歯医者さん おのざき歯科医院

初期虫歯はなぜ削らないの 三越前駅小伝馬町歯科 ハルデンタルオフィス 痛くない治療の歯医者

30代女性 初期虫歯治療 デンタルアトリエ自由が丘歯科 Dr 小笠原慶一ブログ

虫歯がある 川崎市 ナチュラ歯科クロスガーデン川崎クリニック
Q Tbn 3aand9gcrnqf5apxhkli5r5mx5mkkn2u0v R3j3iefm7sdgyrp2m6xlzlb Usqp Cau

初期虫歯は削らない ゆりの木歯科医院通信

子供の虫歯予防 シーラント とはどのような処置ですか Q A 歯医者さんのよくある質問 相模原の歯医者さん

精密虫歯治療について 上野駅近くの歯医者 上野品川歯科 矯正歯科

初期虫歯なら修復できる 歯の健康基礎知識 ライオン

初期虫歯を削らずにフッ素で治す方法 Youtube

初期虫歯は治療したほうがよいのか ザ ホワイトデンタルクリニック

小児歯科 葉山町の健康な歯を残す歯医者 川本歯科医院

歯が白く変色した 初期虫歯 歯垢除去 フッ素塗布 唾液腺マッサージが有効 東中野の歯医者 篠田歯科 中野区の歯周病専門医
3

やぐら歯科内科 高の原駅近くの歯医者 虫歯 歯周病 小児歯科 やぐら歯科内科

初期虫歯 四谷 歯医者 麹町歯科医院

初期むし歯 もんや歯科クリニック

初期の虫歯を自分で修復させる3つの方法と見つける5つのチェック法

虫歯予防と初期むし歯の治療に3ds 越谷市 歯医者 痛くない治療 口腔外科 ひろ歯科医院 無痛治療

虫歯治療 Shimizu Dental Clinic 清水デンタルクリニック

子どもの歯の治療 西八王子 八王子の歯医者 八王子レイス歯科クリニック